Wellness That Matters: Black Health News & Community Care
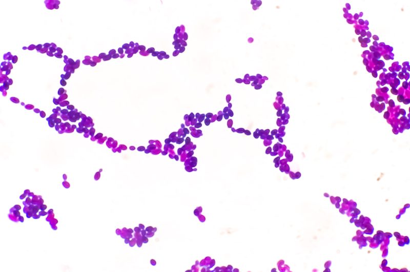
(NEXSTAR) – Health experts have been sounding the alarm for years on Candida auris, a drug-resistant fungus that’s hard to diagnose, hard to eliminate and hard to treat once it takes hold. The deadly fungus, also called C. auris, has nearly tripled this summer, and a new study published by Cambridge University Press shows who is getting hit hardest.
Candida auris is especially dangerous in health care settings, like hospitals and nursing facilities, where it can live on surfaces – like door knobs, counters and bed rails – for long periods of time. It’s resistant to antimicrobials, having developed a resistance to the drugs designed to kill it, making it hard to clean and eliminate.
The fungus typically enters the body through a catheter, breathing tube, feeding tube or PICC line.
The study, which looked at 321 patients, found that people who had Candida auris were typically those with “significant underlying morbidity and disease burden.” Their average age was between 60 and 64.
The study found that more than half of patients required admission to the intensive care unit and more than one-third needed mechanical ventilation. More than half of patients also needed a blood transfusion.
People with healthy immune systems have an easier time fighting off the fungal infection than those who are elderly or otherwise sick. In the past, the Centers for Disease Control and Prevention estimated that “based on information from a limited number of patients, 30–60% of people with C. auris infections have died.”
The cases of Candida auris continue to rise across the U.S. The latest data available from the CDC shows 2,961 infections so far this year.
Read the full article on the original site


